個案故事:一位人很好的大老闆 ,後牙牙齒壞光了,雖然有戴活動假牙,但每次戴來咬東西時,都會感覺到痛,因此戴不慣活動假牙,也沒辦法品嚐美食。因此這位老闆希望能透過做固定假牙來改善上述情形。- 9月 23 週五 201612:28
活動假牙老是戴不慣 問題出在咬合力
個案故事:一位人很好的大老闆 ,後牙牙齒壞光了,雖然有戴活動假牙,但每次戴來咬東西時,都會感覺到痛,因此戴不慣活動假牙,也沒辦法品嚐美食。因此這位老闆希望能透過做固定假牙來改善上述情形。- 3月 05 週六 201601:46
全口重建植牙手術 從「齒」展開甘味人生

個案故事
黃阿姨佩戴假牙已多年,然而她的假牙早已不堪使用,連基本的咀嚼功能都喪失得差不多了,忍受多年的黃阿姨,今年終於下定決心要全口重新整理,期待能恢復年輕時的咀嚼功能,好好吃一頓大餐!
- 1月 14 週四 201610:13
擺脫活動假牙之無味人生 3D列印導航植牙精準、安全、立即有牙
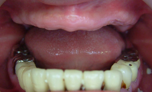
↑個案飽受無齒之苦,想過點有”酸甜苦辣”、有味道的生活,因此決心植牙
- 10月 30 週五 201514:16
數位全口重建三大觀點 有效降低術後風險
數位全口重建有什麼好處?
為什麼成功率比傳統手術高?
為什麼成功率比傳統手術高?
1
