『醫生,我缺牙好幾年了,但是因為害怕又覺得要花很多時間…,所以一直沒有安排時間做植牙,聽說 ”3D數位植牙” 很精準,所以傷口小、能減輕術後疼痛感、快速復原,而且安全性大為提升,請問3D數位植牙是甚麼? 到底會經歷到什麼過程呢?』「"3D數位植牙” 擁有"八大優勢”以及"八大步驟”,那這次就讓我們來介紹3D數位植牙吧!」
勤美悠植牙醫診所 發表在
痞客邦
留言(0)
人氣()
「醫生,我等不了下週裝假牙了,因為我明天就要趕著出國耶!要三個月後才能回來,有沒有可能加快拿裝假牙的時間呢?」
勤美悠植牙醫診所 發表在
痞客邦
留言(0)
人氣()
個案故事:
勤美悠植牙醫診所 發表在
痞客邦
留言(5)
人氣()
個案故事65
歲的陳媽媽活動假牙戴了好幾副 ,牙齒卻反而是越戴越少 ,如今戴的這副活動假牙吃飯時還會在嘴巴裡跑來跑去,不僅使用不便,也容易卡菜渣,讓她愈來愈討厭吃飯,人也日漸消瘦,為了陳媽媽的身體健康,她的兒子便趕緊帶她來做A11 on 4固定假牙(植牙)。
勤美悠植牙醫診所 發表在
痞客邦
留言(0)
人氣()
(圖片分享自網路)
勤美悠植牙醫診所 發表在
痞客邦
留言(9)
人氣()
勤美悠植牙醫診所 發表在
痞客邦
留言(5)
人氣()
何正宏醫師於教學醫院執業多年,專長在於植牙手術以及全口重建。在院期間,接受地區診所轉診各種困難病例,解決許多疑難雜症,因此累積了豐富的臨床經驗。
勤美悠植牙醫診所 發表在
痞客邦
留言(8)
人氣()
「醫生,不知道為什麼覺得牙齒裡面怪怪的,自從裝了假牙之後,怎麼咬都不對勁,是不是假牙沒裝好?」「牙齒有些部位常覺得痠痛、不舒服,吃飯的時候,咬不爛,是什麼問題啊?」
勤美悠植牙醫診所 發表在
痞客邦
留言(0)
人氣()
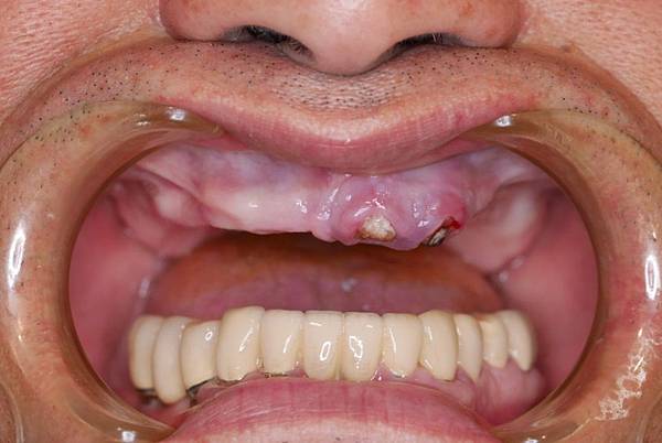
55
歲的陳先生長年來為牙齒問題所苦,前陣子受不了終於來診所做治療,原來是因為上排全口無牙,一直以來都是帶活動假牙,55
歲的他看起來外型還算年輕,但是活動假牙讓他很沒自信,吃東西也大受影響。
勤美悠植牙醫診所 發表在
痞客邦
留言(2)
人氣()
全口重建是許多牙醫院所的重要治療項目,其困難度與複雜度相較於其他牙齒問題更高,必須根據患者自身的條件、需求,決定其治療的計畫、時間長度與效果。需要全口重建的患者主要來自於年紀大、或是患有嚴重的口腔疾病如牙周病等,造成全口無牙,需要訂製全口的假牙。由於全口重建必須經過精密的診療,因此重建過程的工程浩大,醫師的專業與經驗是達到患者期待值的最大因素。而隨著醫學科技的進步,現在透過電腦的輔助,能幫助醫師在治療過程中更精準、縮短手術時間與降低患者的不適,達到更好的治療效果。依據全口假牙類型可區分為三大類,分別是全口活動假牙、半固定式假牙與固定式假牙,這三種全口假牙各有優缺點,以下逐一分析。
勤美悠植牙醫診所 發表在
痞客邦
留言(11)
人氣()

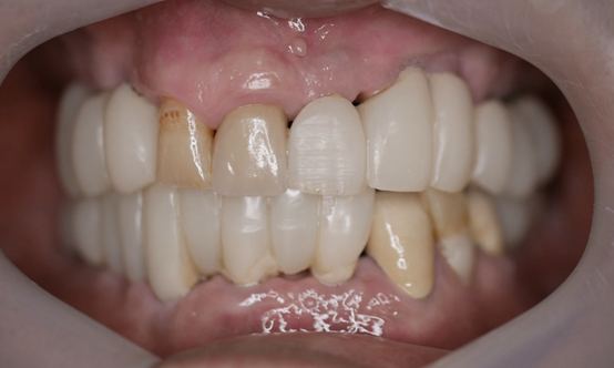
L小姐原本的假牙已經都露出黑邊,
而且全口牙齒顏色都不均勻,讓她自信心大減。
勤美悠植牙醫診所 發表在
痞客邦
留言(5)
人氣()

(
圖片分享自網路)
勤美悠植牙醫診所 發表在
痞客邦
留言(4)
人氣()