- Jun 18 Sat 2016 10:17
-
【即時案例分享】上顎犬齒植牙
- Dec 31 Thu 2015 19:30
-
假牙鬆脫不耐用?即拔即種植牙立即有牙
- Dec 24 Thu 2015 12:00
-
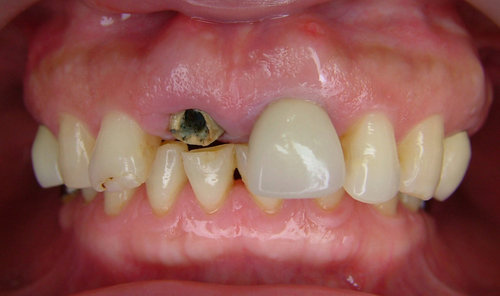
乳牙沒掉?天生缺犬齒?即拔即種植牙重塑微笑曲線
1



