
(
圖片分享自網路)
勤美悠植牙醫診所 發表在 痞客邦 留言(4) 人氣(4,296)
勤美悠植牙醫診所 發表在 痞客邦 留言(0) 人氣(965)
24歲的C先生,牙齒缺牙,但前後兩旁牙齒皆完整無蛀牙或缺損狀況,如果破壞了前後的牙齒會很可惜,經過何醫師評估,決定幫C先生做植牙手術。勤美悠植牙醫診所 發表在 痞客邦 留言(0) 人氣(262)

進行人工植牙前,牙脊需有足夠的骨頭,齒槽骨要夠寬、夠高、夠堅固;但缺牙太久,或是長期罹患牙周病,容易造成齒槽骨萎縮,如果萎縮嚴重還硬是植牙,「骨整合就會出現問題,造成植牙失敗。」
個案故事勤美悠植牙醫診所 發表在 痞客邦 留言(4) 人氣(935)
↑左上臼齒蛀空,只剩爛牙根勤美悠植牙醫診所 發表在 痞客邦 留言(0) 人氣(1,144)
↑傳統金屬燒附牙冠,容易因為牙肉萎縮而露出黑邊,在處理時,需相當留意
勤美悠植牙醫診所 發表在 痞客邦 留言(4) 人氣(1,312)

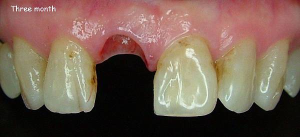
門牙斷裂有多尷尬!某天下午,任職於台大口病科的學弟(很優秀的學弟),帶著他台大醫檢的同事,突然來訪,原來是那位先生門牙撞斷了,遮遮掩掩的樣子滿是尷尬的表情,開口就問:「今天有辦法有牙齒嗎?」
其實一般民眾最在意的莫過於植牙當天可以立即有牙,而且要是好看的臨時假牙,再者就是不腫脹、不痛、不影響日常生活,而且最好不要看診太多次,療程時間愈短愈好,看似簡單的訴求,卻也考驗牙醫師如何準確判斷治療方式,其中牙醫師的經驗與專業度是一大關鍵。
勤美悠植牙醫診所 發表在 痞客邦 留言(0) 人氣(4,661)
案例故事:勤美悠植牙醫診所 發表在 痞客邦 留言(6) 人氣(1,192)
勤美悠植牙醫診所 發表在 痞客邦 留言(2) 人氣(1,220)
右上小臼齒
單顆植牙 勤美悠植牙醫診所 發表在 痞客邦 留言(2) 人氣(617)